Pornind de la conceptul că “nu poți trata ceea ce nu poți vedea”, în cadrul Centrului de Implantologie Mariodent folosim tehnologii moderne precum microscopul dentar pentru a asigura tratamente precise și minim invazive.
Datorită măririi și iluminării performante, microscopul dentar îmbunătățește semnificativ acuratețea în toate etapele tratamentului – de la diagnostic, până la pregătirea și finisarea tratamentelor dentare. Astfel, intervențiile sunt mai sigure, mai precise și protejează țesuturile sănătoase din jurul dintelui.
Unele afecțiuni ale dintelui, precum fisurile fine sau leziunile incipiente, nu pot fi detectate cu ochiul liber. Folosind microscopul le putem identifica din timp, chiar și la o mărire de 25 de ori, ceea ce permite tratamente corecte, eficiente și de durată.
În acest articol vă voi prezenta beneficiile tratamentului dentar la microscop:
Utilizarea vizualizarii mărite (microscop) în diagnosticul și luarea unei decizii în evalualurea restaurării coronare:
Pentru a lua decizia dacă o obturație coronară trebuie menținută sau îndepărtată, examinarea interfeței dintre dinte și restaurare nu poate fi realizată cu precizie cu ochiul liber și, în acest caz, folosim microscopul dentar.
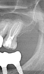
Magnificația (vizualizare mărită) în crearea cavității de acces: camere pulpare calcifiate
În urma iritațiilor cronice de lungă durată, precum cariile vechi netratate, pulpa dentară poate suferi modificări profunde, retrăgându-se sau transformându-se prin calcifiere. Aceste situații fac tratamentul endodontic mult mai complex.
Realizarea cavității de acces în dinții cu camere pulpare calcifiate (pietre pulpare) reprezintă o provocare majoră și, în absența magnificației optice (vizualizare mărită), poate duce la pierderi semnificative de structură dentară sănătoasă. De aceea, utilizarea tehnologiei moderne de mărire de până la 25 de ori, este necesară pentru un tratament precis, sigur și minim invaziv.

Managementul anatomiei complexe
Furcațiile (ramificațiile) din profunzimea canalelor reprezintă o complexitate anatomică ce poate influența designul cavității de acces, în special la dinți precum premolarii mandibulari.
Prin utilizarea microscopului dentar operator, medicul poate realiza o cavitate de acces cât mai mică posibil, care permite un control superior al procedurii și păstrarea unei cantități maxime de structură dentară sănătoasă. Astfel, tratamentul endodontic atinge un echilibru optim între eficiența mecanică și respectarea principiilor biologice, pentru rezultate predictibile și durabile.

Retratamente ne-chirurgicale
- Îndepărtarea pivoților de metal sau din fibră de sticlă:
Îndepărtarea unui pivot metalic/înșurubat devine ușoară sub microscop, prin tăiere selectivă, cu scopul de a conserva cât mai mult din structura coronară dentară.
În cazurile în care există pivoți din fibră, situația este mai complexă din cauza prezenței rășinii în interiorul canalului radicular.
Utilizarea magnificației (vizualizării mărite) poate preveni pragurile, perforațiile sau îndepărtarea excesivă de dentină în timpul demontării pivotului din fibră.
- Identificarea canalelor ascunse:
Localizarea canalelor ascunse este mai sigură atunci când procedura este realizată sub microscopul dentar.
Acest lucru necesită o vizibilitate clară și adecvată, pentru ca procedura să fie rapidă și sigură.

- Îndepărtarea instrumentelor fracturate
Îndepărtarea instrumentelor fracturate din canalele radiculare este una dintre cele mai delicate proceduri din endodonție și necesită maximă precizie. Pe parcursul intervenției, obiectivul principal este conservarea structurii dentinare, evitând îndepărtarea excesivă de țesut sănătos.
Folosirea ultrasunetelor sub magnificație permite preparări precise și minim invazive în vecinătatea fragmentelor fracturate, crescând semnificativ șansele de recuperare.
Utilizarea microscopului dentar operator este astăzi recunoscută ca un pilon esențial al endodonției moderne.
Există o relație sinergică între utilizarea magnificației și aplicarea clinică a ultrasunetelor în endodonție.
Pentru a trata bine, medicul trebuie să vadă bine.




